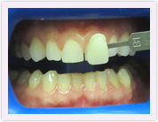
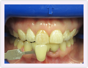
Teeth Whitening
![]() |
![]() |
| Before Photo | After Photo |
Applied Procedures:
Teeth Whitening
![]() |
![]() |
| Before Photo | After Photo |
Applied Procedures:
Teeth Whitening
![]() |
![]() |
| Before Photo | After Photo |
Applied Procedures:
Teeth Whitening
![]() |
![]() |
| Before Photo | After Photo |
Applied Procedures:
Teeth Whitening
![]() |
![]() |
| Before Photo | After Photo |















